
Sering mengunyah makanan satu sisi? Entah itu sisi kanan atau kiri, kebiasaan yang terlihat sepele ini ternyata menyimpan bahaya tersembunyi yang dapat memengaruhi kesehatan gigi dan mulut Anda.
Banyak orang tidak menyadari bahwa kebiasaan ini secara perlahan memicu penumpukan karang gigi dan masalah serius lainnya.
Mengapa Kebiasaan Mengunyah Satu Sisi Terjadi?
Sebelum membahas dampaknya, penting untuk memahami penyebab di balik kebiasaan mengunyah hanya pada satu sisi rahang. Berikut beberapa faktor umum yang memicunya:
1. Gigi yang Bermasalah
Seseorang mungkin menghindari mengunyah di satu sisi karena adanya gigi yang sakit, berlubang, goyang, atau ompong. Permukaan gigi yang tidak rata juga bisa membuat seseorang lebih nyaman mengunyah di sisi tertentu saja.
2. Masalah Sendi Rahang (TMJ)
Nyeri atau ketidaknyamanan pada sendi rahang (Temporomandibular Joint) dapat menyebabkan seseorang lebih sering menggunakan sisi rahang yang terasa lebih nyaman untuk mengunyah.
3. Kebiasaan Sejak Dini
Beberapa orang memiliki kebiasaan ini tanpa alasan medis—melainkan karena sudah terbentuk sejak kecil dan sulit diubah tanpa disadari.
Baca Juga : Biduran pada Ibu Hamil
Hubungan Antara Mengunyah Satu Sisi dan Karang Gigi
Proses mengunyah sebenarnya merupakan mekanisme pembersihan alami bagi gigi. Saat kita mengunyah, air liur dan gesekan makanan membantu membersihkan permukaan gigi dari sisa makanan dan bakteri. Namun, kebiasaan mengunyah di satu sisi dapat mengganggu proses alami ini.
Sisi Aktif vs. Sisi Pasif
- Sisi aktif (yang sering digunakan untuk mengunyah) cenderung lebih bersih karena sering terpapar air liur dan gerakan mekanis dari makanan.
- Sisi pasif (yang jarang digunakan) justru menjadi tempat penumpukan sisa makanan yang tidak terbersihkan sempurna.
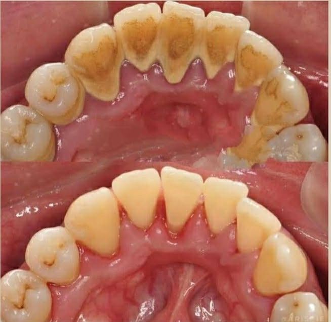
Dari Plak Menjadi Karang Gigi
Sisa makanan yang menumpuk akan bercampur dengan bakteri membentuk plak. Bila tidak dibersihkan dalam waktu 24–72 jam, plak akan mengeras menjadi karang gigi (kalkulus) akibat mineralisasi oleh air liur.
Karang gigi tidak bisa dihilangkan hanya dengan menyikat gigi, tetapi memerlukan pembersihan profesional oleh dokter gigi (scaling).
Dampak Kebiasaan Mengunyah Satu Sisi bagi Kesehatan
Selain menyebabkan karang gigi, kebiasaan ini juga dapat menimbulkan sejumlah gangguan lain pada gigi, gusi, dan struktur wajah.
1. Gangguan Sendi Rahang (TMJ Disorder)
Ketidakseimbangan beban kerja antara sisi kanan dan kiri rahang bisa menyebabkan gangguan pada sendi rahang. Gejalanya meliputi nyeri saat membuka mulut, bunyi klik, atau bahkan kesulitan mengunyah.
2. Ketidaksimetrisan Wajah
Otot di sisi yang sering digunakan akan menjadi lebih kuat dan menonjol, sementara sisi lainnya akan melemah. Dalam jangka panjang, hal ini bisa membuat wajah tampak tidak simetris.
3. Kerusakan Gigi dan Gusi
Penumpukan karang gigi di sisi yang jarang digunakan bisa menyebabkan radang gusi (gingivitis), bahkan berkembang menjadi penyakit periodontal yang dapat merusak jaringan penyangga gigi dan menyebabkan gigi goyang.
Baca Juga : Perbedaan Dokter Gigi Umum (drg.) dan Spesialis Ortodonti (Sp.Ort.)
Cara Mengatasi Kebiasaan Mengunyah Satu Sisi
Jika Anda menyadari sering mengunyah hanya di satu sisi, jangan anggap sepele. Berikut langkah-langkah yang bisa membantu memperbaikinya:
1. Periksa ke Dokter Gigi
Langkah pertama adalah mencari tahu penyebab utamanya. Dokter gigi akan memeriksa kondisi gigi, gusi, dan sendi rahang untuk menentukan apakah ada masalah medis yang menyebabkan ketidakseimbangan tersebut.
2. Latihan Mengunyah Dua Sisi
Setelah masalah medis teratasi, mulai latih diri untuk mengunyah makanan di kedua sisi secara bergantian. Lakukan secara perlahan sampai menjadi kebiasaan baru yang alami.
3. Jaga Kebersihan Mulut
Lakukan menyikat gigi dua kali sehari, gunakan benang gigi (flossing) untuk membersihkan sela gigi, dan berkumur dengan cairan antiseptik agar seluruh area mulut tetap bersih dari plak.
Baca Juga : Rasa Sakit Tumbuh Gigi Bungsu
Kesimpulan
Kebiasaan mengunyah hanya di satu sisi mungkin tampak sepele, tetapi dampaknya bisa serius bagi kesehatan gigi dan rahang Anda.
Dengan mulai mengunyah di kedua sisi secara seimbang dan menjaga kebersihan gigi secara rutin, Anda tidak hanya mencegah penumpukan karang gigi, tetapi juga menjaga senyum tetap indah dan wajah tetap proporsional.
Baca Juga : Kapan harus ke dokter spesialis kulit?



