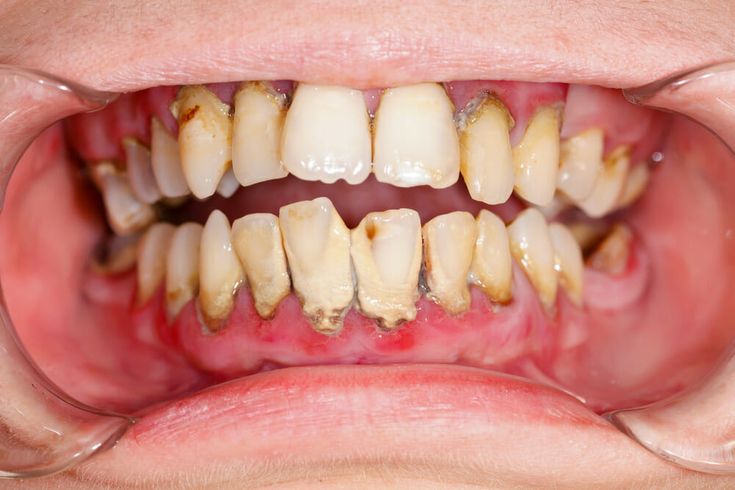
Pernah melihat lapisan keras berwarna kuning atau coklat di sela-sela gigi? Itu adalah karang gigi atau dental calculus. Banyak orang menganggapnya sepele, padahal karang gigi bisa menjadi sumber berbagai masalah kesehatan serius bukan hanya di mulut, tetapi juga di seluruh tubuh.
Jika tidak dibersihkan, karang gigi menjadi “rumah” bagi jutaan bakteri berbahaya. Yuk, kenali lebih dalam dampaknya agar Anda bisa lebih waspada!
Apa Itu Karang Gigi?
Karang gigi terbentuk dari plak sisa makanan dan bakteri yang tidak dibersihkan dengan baik, lalu mengeras akibat mineral dari air liur.
Berbeda dengan plak biasa, karang gigi tidak bisa dihilangkan hanya dengan sikat gigi, melainkan harus melalui tindakan medis seperti scaling di dokter gigi.
7 Bahaya Karang Gigi bagi Kesehatan
1. Bau Mulut Kronis (Halitosis)
Karang gigi menjadi tempat berkembangnya bakteri yang menghasilkan senyawa sulfur penyebab bau mulut.
Bahkan, sikat gigi saja tidak cukup untuk mengatasinya.
2. Radang Gusi (Gingivitis)
Penumpukan karang di garis gusi dapat menyebabkan:
- Gusi merah dan bengkak
- Mudah berdarah saat menyikat gigi
- Rasa tidak nyaman di area gusi
Baca Juga : 10 Sumber Protein Terbaik untuk Anak Sekolah
3. Gigi Goyang hingga Copot (Periodontitis)
Jika tidak ditangani, gingivitis bisa berkembang menjadi periodontitis, yaitu infeksi serius yang merusak jaringan penyangga gigi.
Akibatnya:
- Gusi menyusut
- Gigi menjadi goyang
- Risiko kehilangan gigi meningkat
4. Karang Gigi di Bawah Gusi (Subgingival)
Jenis ini lebih berbahaya karena:
- Tidak terlihat dari luar
- Merusak jaringan dan tulang secara perlahan
- Sulit dideteksi tanpa pemeriksaan dokter
5. Gigi Berlubang (Karies)
Permukaan karang yang kasar memudahkan plak menempel kembali dan menghasilkan asam yang merusak enamel gigi, sehingga memicu gigi berlubang.
6. Risiko Penyakit Jantung dan Stroke
Bakteri dari karang gigi dapat masuk ke aliran darah melalui gusi yang meradang.
Hal ini dapat memicu peradangan pembuluh darah dan meningkatkan risiko:
- Penyakit jantung
- Stroke
- Gangguan kardiovaskular lainnya
Baca Juga : 7 Olahraga Terbaik untuk Kesehatan Jantung
7. Mengganggu Penampilan
Karang gigi membuat:
- Warna gigi menguning atau kecoklatan
- Senyum terlihat kurang bersih
- Menurunkan rasa percaya diri
Cara Mencegah dan Mengatasi Karang Gigi
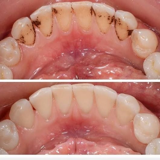
✔️ 1. Rutin Scaling ke Dokter Gigi
Lakukan scaling setiap 6 bulan sekali untuk membersihkan karang gigi secara menyeluruh.
✔️ 2. Sikat Gigi dengan Benar
Minimal 2 kali sehari:
- Setelah sarapan
- Sebelum tidur
✔️ 3. Gunakan Dental Floss
Membersihkan sela gigi yang tidak terjangkau sikat.
✔️ 4. Gunakan Obat Kumur
Sebagai tambahan untuk membantu mengurangi bakteri di rongga mulut.
Kesimpulan
Karang gigi bukan hanya masalah estetika, tetapi juga ancaman serius bagi kesehatan. Jika dibiarkan, bisa menyebabkan kerusakan gigi, penyakit gusi, hingga meningkatkan risiko penyakit jantung.
Jangan tunggu sampai parah rawat kesehatan gigi dan kenali bahaya karang gigi sejak dini.
Baca Juga : 7 Cara Ampuh Menjaga Kulit dari Panas Matahari & Sinar UV




